 
                     
                    N...eurinome
                                                                                    Ohne Anmeldung kannst du diesen Monat keine Veröffentlichungen mehr lesen.
Um neue Funktionen in vollem Umfang zu nutzen, logge dich ein oder erstelle ein Konto, indem du unten klickst. Es ist kostenlos!
                                            Einloggen
                                                                            
N...eurinome
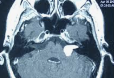
Tumeur nerveuse bénigne développée aux dépens du nerf acoustique, encore appelée schwannome, car elle naît précisément des cellules de la gaine du nerf, les cellules de Schwann.
Tumeur exceptionnelle autrefois. Il me revient les propos d’un patron à ses tout jeunes élèves : vous en diagnostiquerez peut-être deux dans votre carrière.
Elle reste exceptionnelle, mais tout s’accélère à notre époque…
Ma carrière approche de son terme et j’en ai diagnostiqué plus de vingt. Mon cas n’est pas unique. Tous les Oto-Rhinos que je coudoie en ont fait autant.
Il existe donc vraisemblablement une augmentation des cas découverts, ce qui ne veut pas nécessairement dire une augmentation du nombre de ces tumeurs.
L’amélioration des techniques diagnostiques, sa recherche plus systématique en sont
 454 Aufrufe
                                                        454 Aufrufe
                         Kommentar
                                                        Kommentar
                        
                                Ohne Anmeldung kannst du diesen Monat keine Veröffentlichungen mehr lesen.
Um neue Funktionen in vollem Umfang zu nutzen, logge dich ein oder erstelle ein Konto, indem du unten klickst. Es ist kostenlos!
                                Einloggen
                            
 
                
             
                
             
                
             
                
             
                
             
                
             
                
             
                
             
                
             
                                 
                                                                                     Beitragen
                                    Beitragen
                                 
     
     
     
     
     
     
     
     
     
     
     
     
     
     
     
     
     
     
     
     
     
     
     
     
     
     
     
     
     
     
     
     
     
     
     
     
     
     
     
     
     
     
     
     Du kannst deine Lieblingsautoren unterstützen
                Du kannst deine Lieblingsautoren unterstützen 
             
                         
                            
